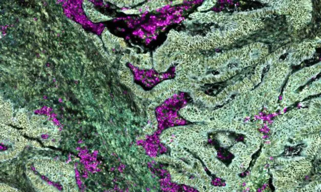
Munich researchers decipher resistance of tumors to CAR-T cells
A research team at the Technical University of Munich (TUM) has discovered a central mechanism...
Read MoreThe translations provided here as a service for the use of the website https://www.medlabportal.de are not subject to any warranty. No liability is assumed, neither expressly nor implicitly, for the accuracy, reliability or correctness of the translations from German into another language. Some content such as images, videos, pdf files etc. may not have been translated correctly due to the limitations of the translation software.
The official text is the German version of the website. Any discrepancies or differences arising from the translation are not binding and have no legal effect in terms of compliance with or violation of regulations and laws. If questions arise regarding the accuracy of the information in the translated website, use the German website as it contains the official version.
Die hier als Service für die Nutzung der Website https://www.medlabportal.de bereitgestellten Übersetzungen unterliegen keiner Gewährleistung. Es wird auch keine Haftung, weder ausdrücklich noch stillschweigend, für die Genauigkeit, Zuverlässigkeit, oder Richtigkeit der Übersetzungen aus der deutschen Sprache in eine andere Sprache übernommen. Einige Inhalte wie Bilder, Videos, pdf-Dateien etc. wurden eventuell aufgrund der Einschränkungen der Übersetzungssoftware nicht korrekt übersetzt.
Der offizielle Text ist die deutsche Version der Website. Abweichungen oder Unterschiede, die durch die Übersetzung entstehen, sind nicht bindend und haben auch keine rechtliche Wirkung in Bezug auf die Einhaltung von oder den Verstoß gegen Vorschriften und Gesetze. Wenn Fragen bezüglich der Richtigkeit der Informationen in der übersetzten Website auftreten, nutzen Sie die deutsche Website, da diese die offizielle Version enthält.