The University of Zurich's spin-off company Cutiss is developing personalized skin grafts from the body's own cells...
Discover our latest articles and stay informed.
The University of Zurich's spin-off company Cutiss is developing personalized skin grafts from the body's own cells...
The German Society for Clinical Chemistry and Laboratory Medicine awards the "Biochemical Analytics" prize for...
The Biochemical Analysis Prize of the German Society for Clinical Chemistry and Laboratory Medicine (DGKL) has been...
One year after the introduction of the electronic patient record, only just under 20 percent of the population use the...
Researchers at ETH Zurich have identified the protein HIF1 as the central trigger for tendinopathies. Overuse of...
The German Society for Clinical Chemistry and Laboratory Medicine (DGKL) is once again awarding the Ivar Trautschold...
The Institute of Medical Informatics at Justus Liebig University Giessen coordinates the GUARDIAN project for the...
In 2025, 985 people donated organs in Germany after their death, 32 more than in 2024 and the highest figure since...
The death of pharmacies in Germany continues. At the end of 2025, there were only 16,601 pharmacies nationwide, 440...
Researchers at the University of Zurich have shown that multiple sclerosis is caused by the interaction of an...
The German Society for Clinical Chemistry and Laboratory Medicine (DGKL) awards the Digital Laboratory Award for...
Researchers have identified CHIP mutations as a new risk factor for cardiovascular disease. These changes in...
On January 12, 2026, 10x Genomics, one of the leading providers of single-cell and spatial biology technologies,...
In a workshop of the Cancer Medicines Forum at the European Medicines Agency (EMA), an international panel of experts...
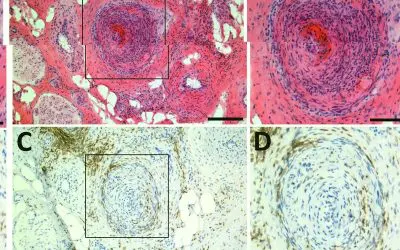
An interdisciplinary team from the Medical University of Innsbruck and the University of Zurich has shown for the...
Germany needs a total reset of the health system. The chairman of the German Society for Clinical Chemistry and...
A European study shows that genetic testing of intestinal polyps in patients with many polyps and a negative blood...
Researchers at the Technical University of Munich, RWTH Aachen University and the German Institute of Human Nutrition...
The translations provided here as a service for the use of the website https://www.medlabportal.de are not subject to any warranty. No liability is assumed, neither expressly nor implicitly, for the accuracy, reliability or correctness of the translations from German into another language. Some content such as images, videos, pdf files etc. may not have been translated correctly due to the limitations of the translation software.
The official text is the German version of the website. Any discrepancies or differences arising from the translation are not binding and have no legal effect in terms of compliance with or violation of regulations and laws. If questions arise regarding the accuracy of the information in the translated website, use the German website as it contains the official version.
Die hier als Service für die Nutzung der Website https://www.medlabportal.de bereitgestellten Übersetzungen unterliegen keiner Gewährleistung. Es wird auch keine Haftung, weder ausdrücklich noch stillschweigend, für die Genauigkeit, Zuverlässigkeit, oder Richtigkeit der Übersetzungen aus der deutschen Sprache in eine andere Sprache übernommen. Einige Inhalte wie Bilder, Videos, pdf-Dateien etc. wurden eventuell aufgrund der Einschränkungen der Übersetzungssoftware nicht korrekt übersetzt.
Der offizielle Text ist die deutsche Version der Website. Abweichungen oder Unterschiede, die durch die Übersetzung entstehen, sind nicht bindend und haben auch keine rechtliche Wirkung in Bezug auf die Einhaltung von oder den Verstoß gegen Vorschriften und Gesetze. Wenn Fragen bezüglich der Richtigkeit der Informationen in der übersetzten Website auftreten, nutzen Sie die deutsche Website, da diese die offizielle Version enthält.